Dậy thì sớm là sự xuất hiện những biểu hiện về thể chất và hormon của tuổi dậy thì ở lứa tuổi sớm hơn bình thường(Trước 8 tuổi ở bé gái và trước 9 tuổi ở bé trai)
Tại sao trẻ bị dậy thì sớm ?
- Đa số là vô căn, có thể do yếu tố di truyển, hiếm gặp hơn là u não (hay gặp ở trẻ trai), các bất thường não bẩm sinh, tổn thương hệ thần kinh trung ương như chấn thương, nhiễm trùng.
- 1 số nghiên cứu cho thấy việc dậy thì sớm có liên quan tới sự gia tăng mức độ béo phì ở trẻ em và sử dụng đồ nhựa dùng 1 lần trong sinh hoạt chứa chất BPA.
Nếu nghĩ rằng trẻ có dấu hiệu bệnh dậy thì sớm, phụ huynh và người chăm sóc trẻ nên đưa trẻ đến khám tại bệnh viện chuyên khoa Nhi.
Tại bệnh viện , bác sĩ có thể yêu cầu trẻ thực hiện một số xét nghiệm, chẩn đoán hình ảnh như sau:
- Xét nghiệm máu để đánh giá mức độ bài tiết hormon giới tính
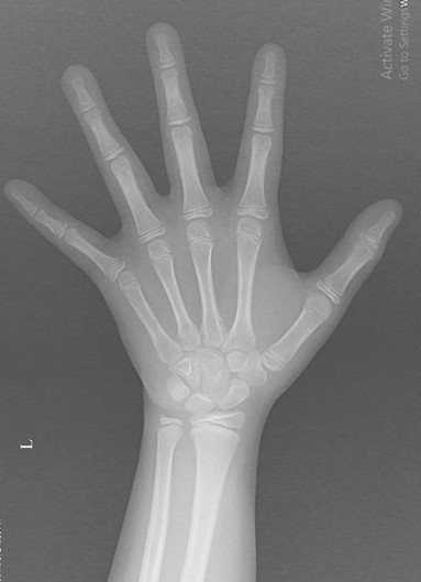
- Chụp Xquang xương cổ – bàn tay định tuổi xương có đang phát triển với tốc độ bình thường so với tuổi của trẻ hay không.
- Siêu âm tuyến vú giúp đánh giá sự trưởng thành của mô vú một cách khách quan
- Siêu âm tử cung – buồng trứng giúp xác định kích thước tử cung- buồng trứng, số lượng nang noãn, có nang noãn trội hay không, có các khối u bất thường hay không
- Siêu âm tinh hoàn, mào tinh xác định kích thước tinh hoàn và các khối u bất thường.
- Ngoài ra có thể siêu âm ổ bụng, chụp CT scaner, MRI tìm ra các khối u tiết ra các hormon sinh dục như u tuyến thượng thận, u gan …
Các xét nghiệm được lựa chọn do các bác sỹ chuyên khoa quyết định dựa trên việc thăm khám cho trẻ.
-Từ kết quả thăm khám và cận lâm sàng, bác sỹ sẽ trao đổi với gia đình những mục tiêu có thể đạt được khi điều trị, giải thích về nguy cơ, và đưa ra những lựa chọn điều trị phù hợp.
Phụ huynh và người chăm sóc trẻ cần chuẩn bị gì khi đưa trẻ đi khám dậy thì sớm:
– Trao đổi trước kế hoạch đi khám bệnh với trẻ để tâm lý thoải mái
- Nên đưa trẻ đến bệnh viện vào buổi sáng. Trẻ có thể ăn uống bình thường trước khi làm xét nghiệm.
- Đối với trẻ gái cần uống nước nhịn tiểu trước khi thực hiện siêu âm

Hình ảnh minh họa Xquang xương bàn tay của bé gái 8 tuổi bị dậy thì sớm chụp tại khoa Chẩn đoán hình ảnh Bệnh viện Sản Nhi tỉnh Bắc Ninh
BS Ngọc Thị Huyền Diệu – Khoa Chẩn đoán hình ảnh
———————————————————————————————
![]() |
BỆNH VIỆN SẢN – NHI BẮC NINH |
Add: Đường Huyền Quang, Phường Võ Cường, TP. Bắc Ninh, Bắc Ninh
Email: bvsn.syt@bacninh.gov.vn
Hotline: 1900 588 827
Website: http://benhviensannhibacninh.vn



